Add Row
Add Element
cropper
update

{COMPANY_NAME}

Digital Nomad Weekly logo
update
Add Element
  • Home
  • Categories
    • Productivity
    • Health
    • Packing
    • Food
    • Wellness
    • Workspaces
    • Culture
February 05.2026
3 Minutes Read

Coping Strategies for Chiari Malformation and Syringomyelia in Nomadic Living

Coping Strategies for Chiari Malformation and Syringomyelia in Nomadic Living


Understanding Chiari Malformation and Syringomyelia

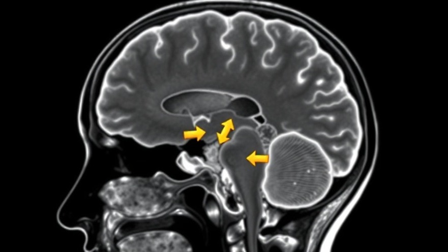
Facing a diagnosis of Chiari malformation (CM) or syringomyelia (SM) can be overwhelming, filled with a mix of physical and emotional challenges. Individuals often find themselves grappling not just with the medical implications of their condition, but also with profound feelings of isolation, uncertainty, and fear. Chiari, particularly Type I, involves structural abnormalities at the back of the skull affecting brain and spinal cord function, while syringomyelia refers to the formation of a cyst within the spinal cord caused by various factors, including Chiari malformation.

The Emotional Landscape of Chronic Illness

It’s natural to experience a roller coaster of emotions when dealing with chronic conditions like SM and CM. Feelings such as anger, hopelessness, and fear can be common, but these negative emotions don’t have to dominate our lives. Instead, it’s essential to acknowledge these feelings and find constructive outlets. Strategies such as journaling, joining support groups, and physical activities can provide not just relief, but also a sense of community and belonging, allowing those affected to share their experiences and connect with others who understand their struggles.

Embracing a Life Worth Living

Living with a chronic condition doesn’t mean surrendering control over one's life. As Paola DeMarco, a healthcare advocate, states, "It's not about the diagnosis; it's about how we choose to respond." This proactive approach can significantly impact overall well-being. Here are several strategies to create a fulfilling life:

  • Change Your Mindset: Reframing how you perceive your situation can be powerful. Instead of seeing your illness as a barrier, consider it an opportunity to explore new perspectives about what brings joy into your life.

  • Educate Yourself: Knowledge grants empowerment. Understanding CM and SM through reputable resources can help manage symptoms effectively and engage meaningfully with healthcare professionals.

  • Prioritize Joy: Linh Nguyen's inspiring words echo this sentiment: "Find the bright spots in your day, no matter how small." Engage in hobbies or interests that spark joy and creativity, whether it’s collecting, gardening, or painting.

  • Build Support Systems: Lean on friends, family, and community. Sharing your feelings and experiences can reduce feelings of loneliness and foster understanding.

Health Management Tips for Digital Nomads

For digital nomads dealing with CM and SM, managing health while traveling poses unique challenges. Here are tailored suggestions aimed at maintaining a healthy lifestyle abroad:

  • Stay Active: Exercise doesn’t have to cease while traveling. Consider low-impact activities like walking, yoga, or swimming. Joining local fitness classes can also help in keeping up with physical health while building new friendships.

  • Nutrition on the Go: Eating well is crucial for managing symptoms. Research local cuisines that are rich in whole foods—fruits, vegetables, and lean proteins—and seek out grocery stores rather than relying solely on dining out.

  • Healthcare Awareness: Familiarize yourself with healthcare facilities in your travel destination. Be informed about local health providers and consider carrying essential medical documentation regarding your condition for emergencies.

The Broader Community Support

Connecting with others affected by Chiari and syringomyelia can be instrumental in navigating daily life. Organizations like the American Syringomyelia & Chiari Alliance Project (ASAP) offer valuable resources, including peer support, education about the conditions, and advocacy for better healthcare access. This collective journey emphasizes that while your health journey may feel solitary, many others walk this path with you, ready to support and empower one another.

Conclusion: Never Give Up Hope

Embracing life with Chiari and syringomyelia is about cultivating resilience and creating a network of support, whether at home or while traveling. Prioritizing your emotional and physical health should be at the forefront of your journey. With the right mindset and strategies, you can maintain quality of life and even thrive. Remember, as inspirational figure Bobby Jones remarked, "Happiness is not a state to arrive at, but rather a manner of traveling." Keep seeking the light, and don’t hesitate to reach out for help when needed!


Health

0 Comments

Write A Comment

*
*
Please complete the captcha to submit your comment.
Related Posts All Posts
03.19.2026

Navigate Stomach Cancer Treatment: Essential Insights for Digital Nomads

Explore Stomach Cancer Treatment options, nutritional strategies, and care management tips for Digital Nomads.

03.20.2026

How Getting Rejected By My Gym Crush Inspired a Life-Changing Transformation

Discover how rejection led to a life-changing weight loss transformation fueled by community support and renewed motivation.

03.18.2026

Stay Safe and Healthy: Essential Sun Exposure Tips for Digital Nomads

Explore essential sun exposure tips for digital nomads including UV risks and practical protection methods for outdoor work.

Terms of Service

Privacy Policy

Core Modal Title

Sorry, no results found

You Might Find These Articles Interesting

T
Please Check Your Email
We Will Be Following Up Shortly
*
*
*